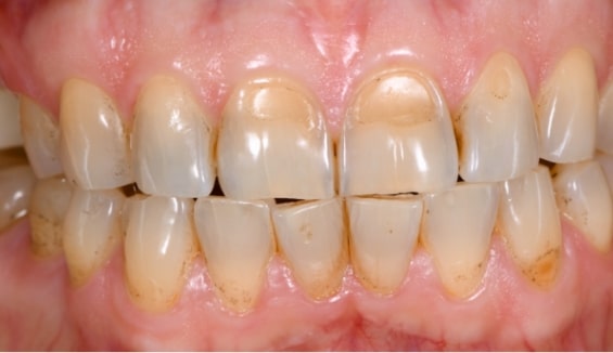
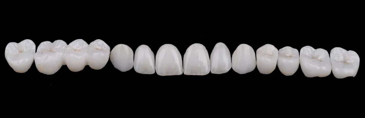
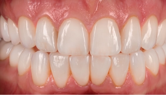
Metal-Free Dentistry – Boston, MA

Metal-free dentistry epitomizes a contemporary paradigm in dental care, seamlessly combining aesthetic appeal with health-conscious principles. This innovative approach revolves around the utilization of dental materials completely devoid of traditional metals such as chromium-cobalt, gold, or nickel-based alloys. In lieu of these metals, the focus is on incorporating materials that not only closely emulate the natural appearance of teeth but also function harmoniously with them, thereby fostering both optimal oral health and enhanced aesthetics.

Within the realm of The Face Dental Group, our commitment to excellence is exemplified by our practice, where over 90% of our full-mouth reconstructions adhere to the philosophy of metal-free dentistry in Boston. This commitment is rooted in our dedication to providing patients with the highest standard of dental care, placing paramount importance on their comfort, appearance, and overall well-being. We exclusively employ industry-leading materials, ensuring that every restoration reflects the pinnacle of innovation and quality in modern dentistry. Our emphasis on metal-free solutions embodies a holistic approach that prioritizes not just the longevity of dental work but also the seamless integration of restorations with the natural beauty and functionality of each patient’s unique smile.