Ceramic Dental Implants – Boston, MA

A Natural and Biocompatible Solution

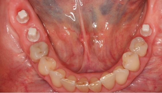
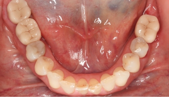
For a specific group of patients, ceramic dental implants in Boston signify a groundbreaking evolution in dental implant technology, offering almost a complete metal-free, aesthetically pleasing, and biocompatible option for tooth replacement. These implants serve as an alternative to traditional titanium dental implants, crafted from high-strength, biocompatible ceramic material known for its durability and natural appearance.

Advantages of Ceramic Dental Implants:

Ceramic implants come with numerous advantages. They closely mimic the appearance of natural teeth, boasting a white color and translucency that makes them virtually indistinguishable and contributes to a beautifully natural smile. Zirconia, the biocompatible material used in ceramic implants, is well-tolerated by the body, reducing the likelihood of allergic reactions or sensitivity and making it an ideal choice for individuals with metal allergies. Ceramic implants provide a holistic and biologically friendly option, ensuring peace of mind for patients concerned about the presence of metal components in their mouths.

Renowned for their exceptional strength and durability, ceramic implants resist corrosion and wear, offering a long-lasting solution for tooth replacement. Additionally, ceramic components on these implants tend to accumulate less plaque compared to traditional metallic components.

Versatile in their applications, ceramic implants can be used for single-tooth replacement, multiple teeth, or full arch restorations, catering to various dental needs. Beyond aesthetics, they provide stable support for dental restorations, allowing patients to eat, speak, and smile with confidence and comfort.