Cosmetic Dentistry – Boston, MA

Creating Harmony Between Your Features

Our team at The Face Dental Group takes an unconventional approach to cosmetic dentistry in Boston in the fact that we take into account the overall appearance of your face, considering all of your unique features so we can enhance them with a smile that looks beautiful as well as uniquely yours. Dr. Att and Dr. Katib begin each of their cases with facial scans and a conversation, ensuring that every aspect of your experience will be customized. We welcome you to call our office today to schedule a consultation to see where quality meets clinical expertise.

Why Choose The Face Dental Group For Cosmetic Dentistry?

Cosmetic Results Custom-Designed to Enhance Your Features

Experience True Clinical Expertise with Drs. Att & Katib

World-Class Dentistry Designed to Last

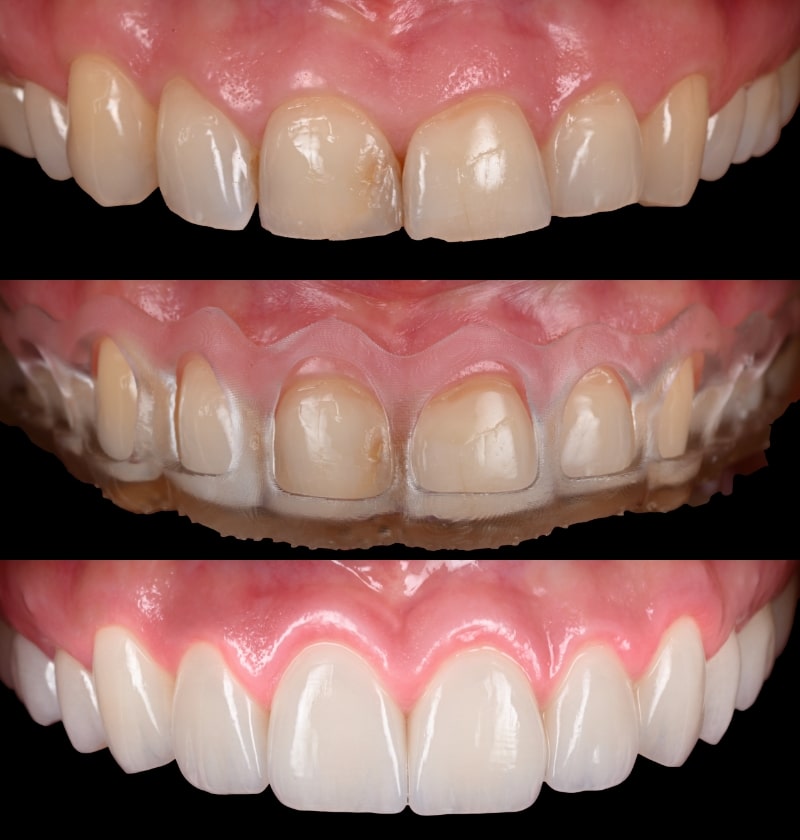
State-of-the-Art Virtual Smile Design

We collaborate with designers and dental laboratory technicians from Germany, Switzerland, and countless other countries across the globe to allow our patients to see exactly what their results will look like. We start the process with a facial scan that Dr. Att uses to custom-design a 3D, photorealistic model of your smile. In addition to allowing you to see what the results will look like to onlookers, we can also use the scans to explain the more technical side of the process, like how we can repair your bite, along with the aesthetic improvements that we’ll make.

Personalized, Comprehensive Smile Makeovers

Our patients come to us knowing that every detail of their treatment will be exclusively planned around their desires and our in-depth evaluation. We don’t just look at the smile in a vacuum, we examine how it will fit into your overall appearance, taking into account your unique features and how we can enhance them with certain treatments. Based on a conversation with you, along with a thorough evaluation of facial scans that we’ll capture, we can design a makeover plan to provide you with breathtaking results that will be life changing.

Veneers

Veneers are durable sheaths that we can place over the visible surface of teeth to conceal damage, discoloration, small gaps, slight misalignment, and more. They look incredibly natural and are customized to fit each patient’s unique smile. Plus, because they are made of top-quality dental porcelain, they are resistant to stains and strong enough to stand up to all the stresses of everyday use. With proper care, they may last for well over a decade.

Metal-Free Restorations

Today, metal restorations are no longer a requirement to repair treated and damaged teeth. They distract from the smile, highlight dental damage, and now have natural-looking, durable alternatives, like EMAX, zirconia, and porcelain restorations. These are custom crafted to appear identical to your natural, surrounding teeth, erasing any issues and imperfections, all while providing the tooth with long-lasting protection and support necessary to maintain good oral health.

Teeth Whitening

If the most notable trait of your teeth is the fact that they’re discolored or stained, we can help remedy that with our Zoom! in-office teeth whitening treatment. Within about an hour, we can brighten your smile by up to eight shades, making you picture-ready for any upcoming weddings or special events that you’re planning to attend. We also offer take-home teeth whitening kits to help touch-up and maintain your brilliant results.

Cosmetic Bonding

Dental damage is a common imperfection that our team of artists at The Face Dental Group regularly addresses with cosmetic bonding. To repair chipped teeth and close gaps, our cosmetic dentists can sculpt and attach composite resin, a biocompatible material, to your affected tooth. We’ll match the shade of the resin to your natural enamel and texturize it to make it virtually indistinguishable from your actual tooth. Within a single appointment, based on the extent of the damage, we can repair your smile.

Crown Lengthening

Countless patients feel that their gum tissue overruns their smile, making it pink and puffy instead of brilliant and bright. Not only can this make you feel self-conscious, but it can also keep you from wanting to show your teeth at all. Crown lengthening, also known as gum recontouring, can help make your grin appear more proportional by removing overgrown soft tissue. The results are permanent, so once the treatment is complete, you’ll be able to enjoy them for the rest of your life.