Dental Smile Gallery – Boston, MA

In this case, the patient presented with extensive tooth wear attributed to parafunction, specifically bruxism. The patient expressed concern about the impact of the altered tooth shape (shortened and quadrant) on her smile, contributing to an appearance beyond her actual age. The chosen treatment approach involved minimally-invasive crowns and veneers crafted from highly esthetic ceramic material for both jaws. By meticulously opening the collapsed bite, we successfully restored the natural tooth appearance and proportions, resulting in a significant enhancement of the patient’s smile.

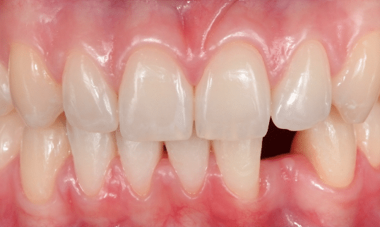
Our patient, a dental student who’s is graduating in just seven days, sought a rapid and aesthetically pleasing solution for a noticeable gap between her lower anterior teeth. To meet her urgent request, we delivered a resin-bonded ceramic bridge made from robust zirconia material within two days of the initial tooth scan. This timely intervention allowed the patient to confidently attend her graduation celebration, showcasing her enhanced smile in photographs without the need to conceal her lips.

A patient expressed dissatisfaction with white spots, dark discoloration, and the perceived shortness of her teeth, stemming from a previous orthodontic therapy involving braces. Our comprehensive treatment plan included the application of minimally-invasive ceramic veneers to conceal the spots, brighten the teeth, and restore natural tooth proportions. The result was a transformed and aesthetically pleasing smile.

This patient faced multifaceted challenges, including the compromised appearance of her teeth hindering her confidence in public appearances and difficulties in eating due to numerous missing teeth. Extensive decay further jeopardized her remaining teeth. Our solution involved the removal of all remaining teeth and the immediate placement of implants in both jaws, accompanied by the simultaneous delivery of teeth in a single procedure. By avoiding multiple surgeries and complete dentures, the patient regained the ability to confidently appear on TV and interviews, and smile at gatherings. The final restorations, featuring high-strength and highly esthetic zirconia fixed restorations on implants in both jaws, not only enhanced her smile but also restored her ability to enjoy a full range of foods.

A former Boeing airplane engineer voiced dissatisfaction with the constant instability of his dentures during talking and eating. Seeking a permanent, fixed solution that mirrored a natural appearance befitting his 70 years, the treatment involved the placement of multiple implants in both jaws. Subsequently, highly esthetic zirconia-based fixed full-arch bridges were delivered, meticulously designed to replicate aged dentition and lifelike artificial gums. The result was a natural-looking rehabilitation in both jaws, enabling the patient to talk, smile, and eat without the discomfort of denture movement. He expressed newfound enjoyment in consuming steaks and nuts without limitations.

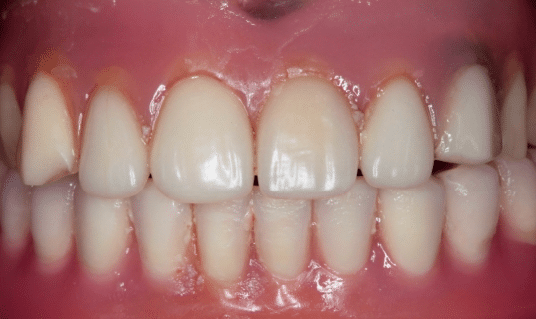
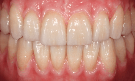
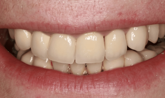
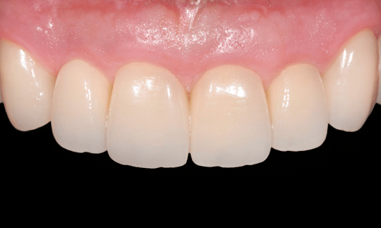
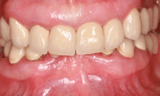
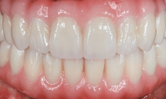
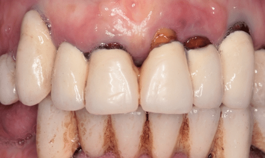
A politician, gearing up for elections within a year, expressed dissatisfaction with the appearance of her outdated crowns, hindering her ability to smile openly in public. In addition to inappropriate crowns, the patient exhibited generalized gum disease. Our comprehensive treatment plan included the replacement of all existing restorations, addressing gum disease, and correcting gum lines to achieve an aesthetically pleasing outcome in a single procedure using surgical guides. The final delivery comprised ceramic crowns and bridges in both jaws, resulting in a natural-looking, whiter smile. The restored confidence enabled the patient to smile openly once again.