Implant Dentures – Boston, MA
Rebuild a Strong & Sturdy Smile
Among the millions of people who are missing all their teeth, a large portion of them choose to get traditional dentures. While that is certainly an option, you might wonder if there are any better solutions. There are! Implant dentures offer a way for Boston patients to rebuild a strong and sturdy smile that functions almost exactly like natural teeth. Continue reading below to discover how the team at The Face Dental Group can help you take advantage of this life-changing service, and then contact us to request a consultation.
Why Choose The Face Dental Group For Dental Implants?
Computer-Guided Dental Implant Placement In-Office
Immediate Procedures & Full-Arch Dental Implants Available
Health-Conscious & Beautiful Metal-Free Dental Implants
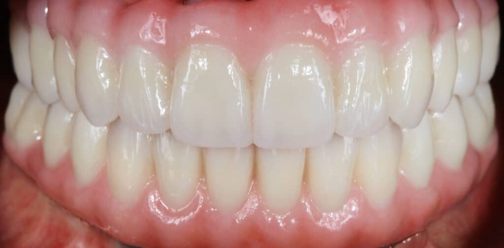
What Are Implant Dentures?
A dental implant is a small post that we insert into the jawbone. It bonds with the surrounding tissue so it can act as a prosthetic tooth root. Dental implants provide a sturdy base for various restorations, including crowns, bridges, and full dentures.
There are two main categories of implant dentures. Depending on your circumstances, we might recommend that you receive a fixed denture or a removable one.
Fixed/Permanent Implant Dentures
As their name indicates, fixed implant dentures are permanently attached to the implants that support them; they can only be removed by a dental professional. Many patients are drawn to this option because they like the idea of having their teeth in their mouth 24/7. The only potential downside to fixed implant dentures is that they may require more dental implants than removable prosthetics.
Removable Implant Dentures
A removable implant denture is easy for patients to remove on their own. It snaps onto and off of small attachments on top of the dental implants. Removable implant dentures are often best for people who have lost some volume in their jawbone because they typically require fewer dental implants.
The Implant Denture Procedure
Our team is able to perform the entire implant procedure in-house. Here is an overview of how it usually goes:
- We will find out if you are a good candidate for dental implants and start planning the details of your treatment.
- Dental implant surgery. We always try to perform any necessary extractions and place dental implants during the same appointment. This allows for more efficient treatment overall.
- Over a period of a few months, your dental implants should form a strong bond with your jawbone.
- You will receive your beautiful new set of teeth.
Am I a Candidate for Implant Dentures?
You might be a suitable candidate for implant dentures if:
- You are missing all or most of your teeth throughout one of your dental arches (or your natural teeth are in poor condition).
- Your jawbone is healthy enough to support dental implants.
- You are free of active gum disease and other conditions that might adversely affect your implants.
If you are unsure of whether implant dentures are a good fit for you, come see us for a consultation. Most adults can undergo this treatment, either right away or after some preliminary care.
Benefits of Combining Dentures & Dental Implants
- Strength and stability. In some cases, implant dentures can provide a bite force that is almost equal to that of natural teeth. Plus, unlike with traditional dentures, there is no need to worry about your prosthetic slipping out of place.
- Implant dentures are carefully designed to look and feel natural.
- Jawbone preservation. Whereas traditional dentures can actually accelerate bone loss in the jaw, dental implants help to keep the bone healthy and whole.
- Implant dentures tend to last longer than their traditional counterparts.
Implant Dentures FAQs
Is It Painful to Get Implant Dentures?
Our team uses local anesthesia and other measures to ensure that your surgical procedure is quite easy and comfortable; you may not feel anything at all! After the procedure, you might notice swelling, tenderness, or minor bleeding at the implant sites, but these sensations usually subside within a few days. We will provide you with instructions to facilitate a smooth and complication-free recovery.
In rare cases, complications arise that can cause more severe discomfort. If you experience any extreme or unusual symptoms, be sure to contact us right away.
How Long Do Implant Dentures Last?
You can expect your implant dentures to last many years if you care for them appropriately. The titanium implants placed in your jaw are designed to fuse with your bone, creating a stable and permanent foundation for your new teeth. The denture prosthetics, while durable, may require replacement after a decade or more due to normal wear.
Regular dental checkups are essential to ensure the long-term success of your implant dentures. Your dentist will monitor the condition of both the implants and the prosthetic teeth. By maintaining good oral hygiene and following your dentist’s recommendations, you will help to maximize the lifespan of your implant dentures.
Will My Implant Dentures Feel Natural?
You will likely notice that implant dentures feel much more natural than traditional dentures. The implants anchor securely into your jawbone, providing a sensation similar to natural teeth. This stability allows you to eat, speak, and smile with confidence, without worrying about slipping or shifting. With time, you might even forget you are wearing dentures altogether!
What Is the Best Way to Take Care of Implant Dentures?
You should clean your implant dentures daily to prevent plaque buildup and oral health issues. Use a soft-bristled toothbrush and non-abrasive toothpaste to clean all surfaces of your dentures and your gums. Rinse thoroughly after each meal and avoid using harsh cleaning agents that could damage your prosthetic.
Regular visits to your Boston dentist are crucial for professional cleanings and examinations. Your dentist will check the fit of your dentures and monitor the health of your gums and implants. If they notice any issues, they can recommend timely treatment to stop the problem from worsening.
Some additional things you can do to care for your implant dentures include:
- Eat a balanced, nutritious diet
- Do not smoke or chew tobacco
- Wear a mouthguard when you play sports
Can I Get Implant Dentures if I Already Have Regular Dentures?
You may qualify for implant dentures even if you already use regular dentures. Our team will evaluate your jawbone density and overall oral health to determine if you are a suitable candidate. In some cases, bone grafting may be recommended to create a stronger foundation for the implants.
Switching to implant dentures can offer significant improvements in stability, comfort, and appearance. If you are frustrated with loose or uncomfortable traditional dentures, implant-supported options may provide a more satisfying experience. They are definitely worth looking into!