Full Mouth Reconstruction – Boston, MA
Revitalize Your Smile
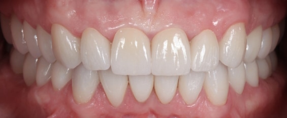
At The Face Dental Group, we understand that dental issues, whether due to disease, trauma, oversight, or congenital factors, can have a profound impact on your overall well-being. That’s why we offer high-quality comprehensive full-mouth reconstruction in Boston that can help you regain your oral health, function, and confidence. We have vast experience in full-mouth reconstruction, whether on teeth, dental implants, or both, and we have been very successful in reconstructing patients throughout the years. To find out how we can revitalize your smile, contact us today.
Why Choose The Face Dental Group for Full Mouth Reconstruction?
Experts in Implants & Restorative Dentistry
Advanced Technology to Optimize Treatment Results
Compassionate & Friendly Dental Team
Is Full Mouth Reconstruction Right for Me?
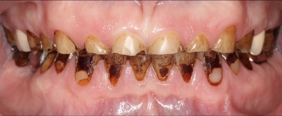
You might be a good candidate for full mouth reconstruction if you are dealing with multiple or complex oral health issues. We may recommend this service if you:
- Have lost multiple teeth due to gum disease, trauma, or other factors.
- Have natural teeth that are in poor condition.
- Are not enjoying life to the full due to dental pain and feelings of self-consciousness about your smile.
Even if you have been struggling with poor oral health for many years, it is not too late to bring back a strong and healthy smile. Our team can evaluate your unique case and propose a plan to optimize your teeth’s function, strength, and appearance.
In summary, The STAR Concept™ Full Arch Implants represent a paradigm shift, offering precision, aesthetics, and long-term benefits that surpass the limitations of traditional full arch implant processes.
The Full Mouth Reconstruction Process
The first step in full mouth reconstruction is a consultation. This will involve a personalized one-on-one conversation about your wishes and concerns. We will also perform a comprehensive clinical examination to get a thorough assessment of your oral health, and intraoral scans of your current situation are taken. We complete your session by taking digital photographs of your smile which are captured in our in-house photography studio.
Using all the collected data, we work with our team to create a personalized treatment plan that addresses each issue comprehensively, ensuring a functional and aesthetically pleasing result. We even use digital smile design technology to give you a preview of your results.
Full mouth rehabilitation is customized for each individual situation, and the treatment is performed in phases.
Understanding the Cost of Full Mouth Reconstruction
The cost of full mouth reconstruction depends heavily on the initial state of your oral health and the details of your unique treatment plan. During your consultation, our team will share some specific numbers and help you understand your payment options. For example, we can file insurance claims on your behalf. We also accept convenient third-party financing through CareCredit. We do not want you to run into any unpleasant surprises when you are paying for your full mouth reconstruction, so you can expect transparency from us during every stage of your treatment journey.
Remember, full mouth reconstruction is an investment that can reward you with years of heightened confidence and improved health!
Full Mouth Reconstruction FAQs
Our team would love to help you reclaim a healthy, strong, and confident smile! However, we understand that full mouth reconstruction can seem like a major undertaking — and it is! Therefore, it is only natural if you have questions. Below, you will find answers to some common FAQs. If your specific points of interest are not included here, or you would like further explanation on anything you read, please reach out to us directly. We will be happy to speak with you.
How Long Does Full Mouth Reconstruction Take?
The timeline for full mouth reconstruction depends on a few factors. For example, some patients require preliminary care before they can get dental implants, such as gum disease treatment or bone grafting. Other patients are able to get dental implants right away. The implant process itself can vary in its timeline, depending on the details of your treatment plan.
From start to finish, it is common for full mouth reconstruction to take a few months or longer. During your consultation, we can give you a better idea of how long it might take for us to complete your unique case.
We utilize the latest techniques in dentistry to make treatment as efficient as possible. For example, STAR Concept dental implants are designed for immediate loading, which can allow you to enjoy a full smile on the same day as your implant surgery.
How Long Will My Full Mouth Reconstruction Results Last?
With proper care, the results of your full mouth reconstruction may last a long time. For example, dental implants are engineered to last a lifetime, and the restorations that get placed on top of them are also quite durable.
To help your new smile stand the test of time, it is important that you stick to some good habits. For example, you should be diligent about oral hygiene, see your general dentist for routine checkups, and try to manage your overall health. If you ever believe there is a problem with one of your implants, you should seek professional care right away.
Does Full Mouth Reconstruction Hurt?
We want you to be comfortable, so we use sedation and local numbing agents to make sure that you feel little to nothing when you are in the treatment chair. We also use custom surgical guides to help us place your implants exactly where they belong, which can help to reduce recovery time.
Of course, as with any dental procedure, you may still experience some soreness, swelling, and general discomfort as you recover from full mouth reconstruction treatments. If you eat soft foods, get plenty of rest, and follow other post-op instructions, you can expect to have a relatively smooth and comfortable recovery period.
Can I Get Full Mouth Reconstruction if I Smoke?
During your consultation, we will gather all relevant information about your medical history and lifestyle choices. Whether or not you smoke is just one factor that will play a role in determining if you are a good candidate for full mouth reconstruction. Many people who smoke are eligible to move forward with treatment.
With that being said, it is important to note that smoking could compromise the results of your full mouth reconstruction. It increases the risk of oral infections and other complications. For that reason, we strongly recommend that you make every effort to kick the habit. At the very least, you should avoid smoking during the time period before and after any oral surgery.
What Are the Full Mouth Reconstruction Steps?
The first step of the full mouth reconstruction process is always a consultation. Our team will learn about your medical history and your oral health. We can also use advanced scanning technology and software to give you a realistic preview of your results.
Once we agree on your treatment plan, our team will get to work on reconstructing your smile. This may involve dental implant placement, cosmetic services, and other key treatments. The process may require multiple appointments spaced out across several months. Whenever possible, we perform treatments simultaneously to make things as efficient as possible.
Do I Need Full Mouth Reconstruction?
You might be able to benefit from full mouth reconstruction in our Boston office if:
- You are suffering from multiple or complex dental problems, such as missing teeth, gum disease, and worn-down/broken teeth.
- You are unhappy with the way your teeth look and function.
After a thorough evaluation, our team can provide our expert opinion on whether full mouth reconstruction is a fit for your circumstances.
Will People Be Able to Tell That I Had a Full Mouth Reconstruction?
There is no need to worry that you will look like you “have had some work done.” That is because our team are experts at creating dental prosthetics that look and feel very natural. We use advanced design software and other sophisticated technologies to make sure that every case we complete provides a beautiful and confident smile. We also use very lifelike materials that even reflect light similar to natural tooth enamel.
Of course, people will notice that your teeth look amazing!
I’ve Had a Full Mouth Reconstruction – Is There Anything I Can’t Eat?
After certain procedures, you should modify your diet in order to minimize the risk of complications and reduce any post-op discomfort. For example, following dental implant placement, you may need to stick to a no-chew diet for a few days. This may include things like yogurt, brothy soups, and meal replacement shakes. As you heal, you can gradually start to incorporate fork-tender foods, like scrambled eggs and meatloaf.
Once you are fully recovered and your new teeth are in place, you should be able to eat virtually any food, including relatively tough items. Of course, it would be best to eat sugary and starchy treats only in moderation. It is also wise to be cautious with hard foods that might break or chip a restoration. A diet full of nutritious, easy-to-chew foods is best for both your oral and overall health.
How Do I Care for My Smile After Full Mouth Reconstruction?
Our Boston restorative and cosmetic dentistry team will be happy to coach you on how you can care for your mouth after full mouth reconstruction. We might advise you to:
- Visit your general dentist twice a year for a cleaning and checkup.
- Maintain excellent oral hygiene.
- Do not smoke.
- Eat a balanced, nutritious diet.
- Call us if you have any questions or concerns about post-op care.