Dental Services – Boston, MA
What Types of Services Are Used for Esthetic Rehabilitation?
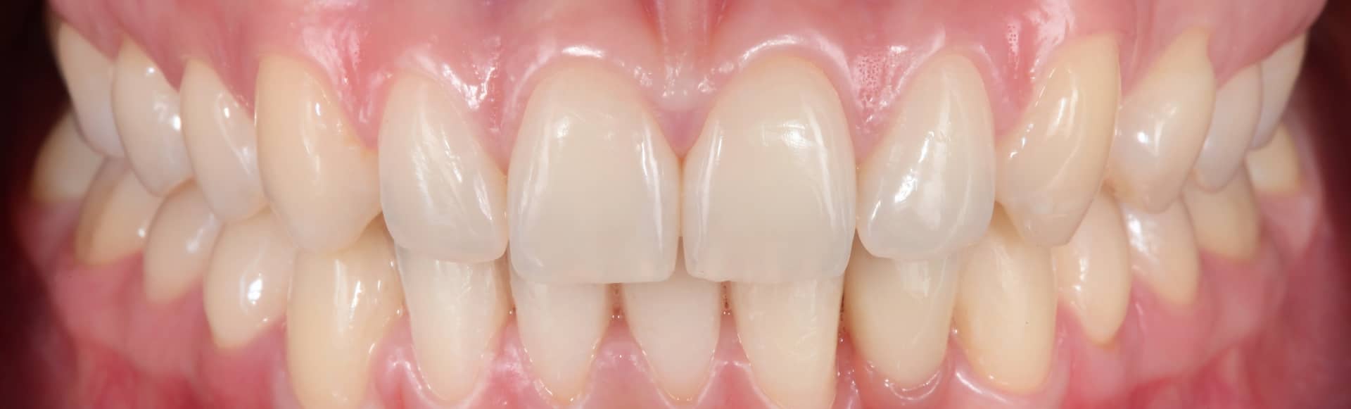
“Esthetic rehabilitation” is a term that encompasses a number of procedures designed to improve the appearance and function of the smile. When our experts sit down with you, they may recommend any of the following services for your smile:
- Dental implants are small titanium posts that are surgically placed within the jaw to anchor a natural-looking and feeling dental prosthetic in place.
- Gum contouring involves the reshaping of the gumline in order to achieve a more balanced and symmetrical smile.
- Restorative treatments like tooth-colored fillings and customized dental crowns can be used to protect and restore damaged or decayed teeth, as well as improve their appearance.
The Benefits of Esthetic Rehabilitation
When you invest in treatments under the esthetic rehabilitation umbrella, you’re able to enjoy a variety of benefits. Some of these include:
- Achieving harmony between your dental health, function, and the appearance of your smile.
- In most cases, employing minimally invasive techniques to preserve as much of your natural dental structure as possible.
- A boost in confidence due to a smile that looks healthy and complete.
With our team’s consideration of how each of our treatments will improve both the functionality and appearance of your smile, we don’t offer solely superficial enhancements. Instead, we provide results that are truly worth it and that you can feel and see in your everyday life.
Treatment architecture and execution
Each case is assigned a tailor-fit treatment team meticulously curated from the outset based on the treatment plan and the specific skill set essential for addressing the unique complexities of the case. The treatment team is comprised of a treatment architect and specialists, ensuring a well-rounded and highly skilled ensemble.
The treatment architect, usually a dentist with extensive experience in restorative dentistry and a broad multidisciplinary vision, takes charge of planning and overseeing the case from start to finish. Accompanying them are specialists possessing superior niche clinical skills, strategically assigned based on the specific requirements of the case. Additionally, the involvement of one or multiple technicians is determined by the complexity of the case, adhering to the simple rule: the best person for the job gets the job. In your case, this means you receive the expertise of the finest professionals, seamlessly coordinated into a unified and organized team, working with a single vision to address your dental concerns.
Oversight
A treatment coordinator is a crucial member of the team, managing logistics for clinicians and patients. They synchronize specialists and procedures, ensuring materials are available before surgeries. Treatment coordinators also assist with financial planning, enhancing the overall efficiency and experience for all involved.
Maintenance
Upon completion of a case, it enters the maintenance phase. Simultaneously, we update the patient’s data with comprehensive details, including procedures, digital plans, and relevant information. This ensures easy follow-up accessibility for any dentist worldwide, facilitating seamless continuity of care.
We can assist when you are abroad
We provide you with information, everything you might need to know about your treatment plan, appointments, solutions to any kind of problems, assistance with any other thing you might need during your treatment.
Aftercare in your state or country
Depending on the state or country you live in, we will point you to a specialist in your location, for the aftercare of the treatments you received at The Face Dental Group.
How much does a new smile cost (ceramic veneers)?
The cost of treatment is influenced by two primary factors:
Number of Teeth to be Restored
An average smile typically involves restoring 8-10 units, contingent on the width of the smile. However, this is not a fixed rule and may vary depending on the specific case and desired outcomes. The cost per unit is case-specific and serves as an indicative measure.
Complexity
The degree of complexity can significantly differ between cases. Factors contributing to complexity include gingival problems, dark teeth or gingiva, functional bite-related issues, infections, and more. While these issues are manageable, they inherently necessitate additional time and costs due to the supplementary procedures required to achieve an optimal result.
Do I know all the treatment costs up-front?
Certainly. During the consultation, all costs are transparently presented upfront. The consultation consists of two sessions. In the initial appointment, we collect essential data, including pictures, scans, and x-ray investigations. The second session involves the examination’s interpretation, mapping out any aesthetic, functional, or biological issues that require attention. This session provides you with a comprehensive overview of your health status and an aesthetic diagnosis. The subsequent appointment allows you to visualize a future smile design or solution to your concerns. This is meticulously detailed in a treatment plan, encompassing all procedures, costs, durations, and available options.
I need one or more dental implants. Could you give me an idea of cost?
The costs are variable and dependent on the number of dental implants and the complexity of surgeries. In certain cases, additional procedures may be necessary to achieve an optimal result, including bone grafts, soft tissue grafts, or sinus lifts. The specific requirements are precisely determined during the consultation, ensuring clarity on the necessary procedures.